Nidos tumorales de estructura tubular separados por septos hialinos acidófilos (flecha gruesa) y revestidos por células luminales y adluminales (flecha fina). Coloración H/E.
Carcinoma sebáceo epitelial/mioepitelial de parótida: Análisis histopatológico e inmunohistoquímico.
Samar María Elena; Avila Rodolfo Esteban; Fonseca Ismael Bernardo & Ferraris Ricardo Virgilio
Int. J. Odontostomat., 4(2):189-196, 2010.
Resumen
El carcinoma epitelial-mioepitelial (CEM) de glándulas salivales es un tumor maligno bifásico de bajo grado, que comprende aproximadamente el 1% de todos los tumores salivales. Se describe un raro caso de CEM sebáceo de glándula parótida en un hombre al que se le realizó parotidectomía izquierda por formación tumoral aparentemente encapsulada. Para su estudio histopatológico e inmunohistoquímico el material se coloreó con H/E, tricrómicos de Masson y Dane/Azul alciano, PAS/H, Azul de toluidina, antígeno epitelial de membrana (EMA), citoqueratinas (CK) de bajo peso molecular, a actina de músculo liso (a-SMA) y S-100. Los cortes histológicos mostraron un patrón multinodular con nidos tumorales constituidos por estructuras tubulares delimitadas por: a-células acidófilas luminales cuboideas; b- células claras adluminales. Las células ductales luminales se marcaron positivamente con los anticuerpos para EMA y CK. Se observó inmunorreactividad positiva para a-SMA y S-100 en las células claras. Se observaron áreas de diferenciación sebácea dentro de la masa tumoral. Los estudios inmunohistoquímicos confirman la presencia de células tumorales ductales y mioepiteliales. Además, las células claras mioepiteliales constituyen un elemento importante para el diagnóstico diferencial entre CEM sebáceo y adenocarcinoma sebáceo.
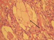
Areas de diferenciación sebácea con nidos de sebocitos de citoplasma pálido (flecha). Coloración H/E.
Marcación positiva de epiteliocitos luminales con EMA (flecha). Inmunohistoquímica.
Epiteliocitos luminales positivos para citoqueratinas de bajo peso molecular (flecha). Inmunohistoquímica.
Mioepiteliocitos con inmunomarcación positiva para S-100. Inmunohistoquímica.
Mioepiteliocitos con marcación positiva para alfa actina de músculo liso (flecha). Inmunohistoquímica.