Carcinoma adenoide quístico. Componentes cribiforme (flecha gruesa) y sólido (flecha fina). H/E
Carcinoma adenoide quístico extrasalival. Presentación de un caso
Rodolfo Esteban Ávila, María Elena Samar , Alberto Gustavo Corball, Ismael Bernardo Fonseca, Ricardo Virgilio Ferraris
Rev Esp Patol 2010;43:126-8 - DOI: 10.1016/j.patol.2010.02.008
Summary
Se presenta un caso infrecuente de carcinoma adenoide quístico en fosa nasal derecha donde se realizó una correlación patrón histológico de crecimiento/pronóstico. Por el estudio clıíico, histológico e histoquímico, con determinacó´n del grado histopatológico tumoral y estadificación para tumores malignos de cavidad nasal se diagnosticó carcinoma adenoide quístico grado III estadio T2 con importante componente sólido, invasión perineural, compromiso de márgenes quirúrgicos y metástasis pulmonar.
Carcinoma adenoide quístico. Invasión neural. Tumor (flecha fina). Nervio (flecha gruesa). H/E
Carcinoma adenoide quístico. Invasión ósea. Tumor (flecha fina). Hueso (flecha gruesa). H/E
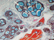
Carcinoma adenoide quístico. Componente cribiforme (flecha). Tejido muscular (estrella) . Tricrómico de Dane.
Carcinoma adenoide quístico. Componente cribiforme . Tricrómico de Masson
Carcinoma adenoide quístico. Invasión perineural. Tumor (flecha fina). Nervio (flecha gruesa) H/E
Carcinoma adenoide quístico. Componente tubular. Tricrómico de Masson.
Carcinoma adenoide quístico. Invasión cartilaginosa. Tumor (flecha fina). Cartílago (flecha gruesa). Tricrómico de Masson.
Carcinoma adenoide quístico. Componente sólido (flecha fina). H/E