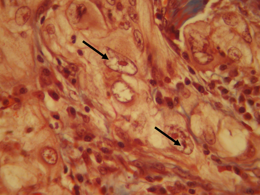
Carcinoma mucoepidermoide de bajo grado de malignidad. Estructuras quísticas revestidas por mucocitos (flecha). Tricrómico de Dane
Carcinoma Mucoepidermoide de Glándulas Salivales: Factores Pronósticos Histológicos e Inmunohistoquímicos
Rodolfo Esteban Avila; María Elena Samar; Ismael Fonseca; Luis Olmedo; Onell Gabriela Asís & Ricardo Ferraris
Int. J. Morphol., 29(2): 455-462, 2011.
Summary
Los tumores de las glándulas salivales representan entre el 2 y 3% de las neoplasias de cabeza y cuello. El carcinoma mucoepidermoide (CME) es el tumor maligno más común en las glándulas salivales; su comportamiento biológico se relaciona con el grado histológico tumoral (bajo, intermedio y alto). Está formado por células mucosas, epidermoides, intermedias, columnares y claras. El objetivo del presente trabajo fue presentar la casuística de CME de nuestro laboratorio en el período 1999-2009 para determinar grado histológico y potencial proliferativo como factores pronósticos ya que éstos son importantes para guiar el tratamiento y diseñar recomendaciones para los pacientes. Cortes seriados de 13 casos de CME se colorearon con H/E, Masson, PAS, Dane/Alcian blue y Azul de toluidina. Se realizó inmunomarcación para ki67. Se analizó su grado histológico según el sistema de gradación tumoral de Auclair et al., que evalúa variables observables con microscopio óptico. 8 tumores se localizaron en parótida, 3 en paladar, 1 en submandibular y 1 en glándulas genianas. Histológicamente 3 casos fueron de alto grado, 2 de grado intermedio y 8 de bajo grado, según sus características citológicas, patrón de invasión y tipo celular. En dos casos de bajo grado se observaron cristales de colesterol, macrófagos y células gigantes de cuerpo extraño. La expresión de ki67 fue importante en tumores de alto grado. La parótida fue la más afectada seguida por paladar y submaxilar, lo que acuerda con la bibliografía. El grado histológico tumoral se asoció con la expresión de Ki 67, factores pronósticos relevantes en el CME, que deben asociarse a estudios cínicos y análisis de supervivencia. Continuaremos e l presente trabajo con la realización de estudios de los residuos azúcares terminales y subterminales de los carbohidratos con lectinhistoquímica, para detectar modificaciones sutiles de la glicosilación de las proteínas celulares, rasgo común en el proceso de transformación neoplásica.
Carcinoma mucoepidermoide de bajo grado de malignidad. Mucocitos (flecha blanca) y células epidermoides (flecha negra). Congestión vascular (flecha fina). Tricrómico de Dane
Carcinoma mucoepidermoide de grado intermedio de malignidad. Inmunohistoquímica Ki 67 positiva (flecha).
Carcinoma mucoepidermoide de alto grado de malignidad. Células anaplásicas (flecha). Tricrómico de Masson
Carcinoma mucoepidermoide de alto grado de malignidad. Células anaplásicas. H/E