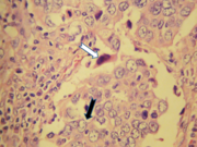
Carcinoma indiferenciado tipo células grandes (flecha negra). Célula ahusada eosinofílica (flecha blanca). H/E
Carcinoma Indiferenciado tipo Células Grandes de Parótida: Características Clínico/Histológicas
Pedro E García, María E Samar; Rodolfo E Avila
Patología 2017, 55(1):18-23.
Resumen
El carcinoma indiferenciado tipo células grandes es un subtipo raro, altamente maligno y agresivo de carcinoma indiferenciado que se presenta más frecuentemente en parótida. En este informe describimos las características clínico/histológicas de un carcinoma indiferenciado tipo células grandes, su potencial proliferativo y realizamos el diagnóstico diferencial con otras neoplasias salivales. Paciente varón de 67 años que consultó por un nódulo duro de parótida derecha de 6 meses de evolución, con signos de parálisis facial. Se realizó ecografía y se extirpó el tumor. La biopsia se estudió con H/E y se realizó inmunomarcación con Ki67 para analizar su capacidad proliferativa. El tumor, no encapsulado, estaba formado por células grandes, mayores de 30 µm, con núcleos grandes. En áreas aparecían células ahusadas eosinofílicas, anaplásicas y gigantes multinucleadas dispersas entre los otros tipos celulares. Se observaron figuras mitóticas, invasión vascular, necrosis y hemorragia. La expresión de Ki 67 fue fuertemente positiva. El diagnóstico microscópico corresponde a un carcinoma indiferenciado de células grandes, con potencial proliferativo positivo. Su diagnóstico es histopatológico ya que la clínica no lo diferencia de otros tumores salivales. En su diagnóstico diferencial incluimos carcinomas metastásicos indiferenciados o pobremente diferenciados, linfomas anaplásico y de células grandes y melanoma.
Carcinoma indiferenciado tipo células grandes. Invasión vascular (flecha). H/E
Carcinoma indiferenciado tipo células grandes (flecha). H/E
Carcinoma indiferenciado tipo células grandes. Inmunohistoquímica ki67 positiva (flecha)
Carcinoma indiferenciado tipo células grandes. Inmunohistoquímica ki67 positiva (flecha)