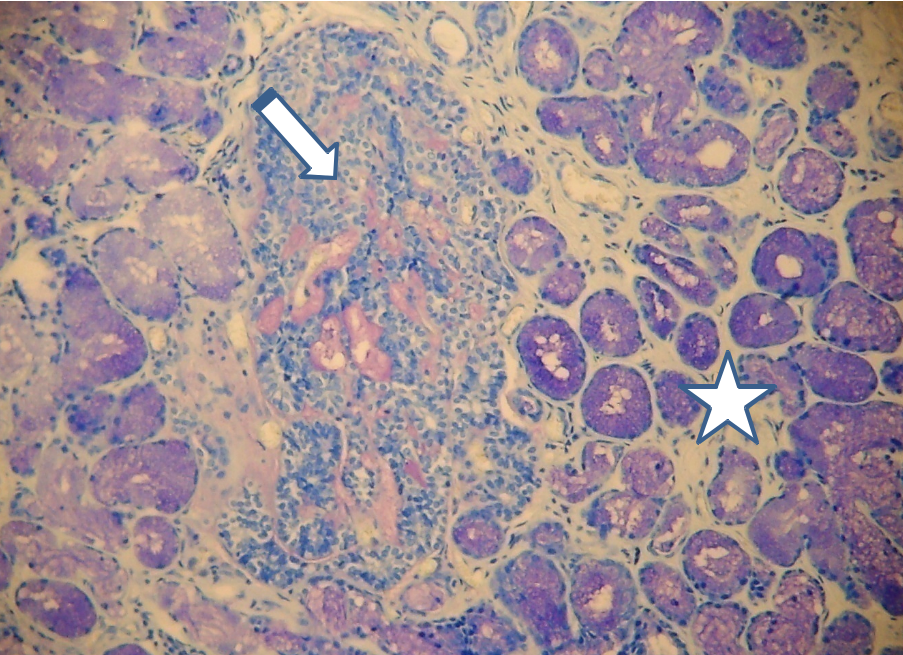
Adenoma canalicular (flecha). Glándulas labiales (estrella) Azul de toluidina
Multifocal canalicular adenoma of the minor labial salivary glands.
Samar ME, Avila RE, Fonseca IB, Anderson W, Fonseca GM, Cantín M
Int J Clin Exp Pathol. 2014;7(11):8205-10. eCollection 2014.
Summary
Canalicular adenoma (CA) is an uncommon benign neoplasia of salivary glands which is clinically difficult to recognise. Despite having an excellent prognosis, the histological diagnosis and clinical management of this entity can be troublesome. While the main differential diagnosis to consider is basal cell adenoma (BCA), similar histological patterns and multifocality have been observed in adenoid cystic carcinoma (ACC) and polymorphous low-grade adenocarcinoma (PLGA), both locally-aggressive malignancies which require radically different treatment to CA. An emphasis has been placed on the value of immunohistochemistry in avoiding diagnostic and surgical errors. CA is positive for AE1/AE3, CD117 and S-100 protein, and negative for p63, α-SMA, Ki 67 and vimentin. Here we discuss the case of a 61-year-old female with CA in her right upper lip, showing multifocal growth histologically. The differential diagnosis with other adenomas is discussed in addition to the role of immunohistochemical studies that can confirm the clinical and surgical findings.
Adenoma canalicular (flecha). Glándulas labiales (estrella). PAS/H
Adenoma canalicular H/E
Adenoma canalicular (flechas). Glándulas labiales (estrellas) H/E
Adenoma canalicular: Inmunohistoquímica S100 positiva (flecha)
Adenoma canalicular: Inmunohistoquímica. Pancitoqueratina AE1/AE3 positiva.