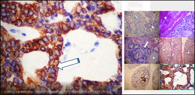
Desde un enfoque de aprendizaje colaborativo a través de la computadora hemos propuesto el uso de internet para la difusión de la estructura histológica e histoquímica de los tumores de glándulas salivales.
La mediateca digital está organizada en base a las muestras de nuestro laboratorio de histopatología obtenidas de los resultados de nuestros proyectos de investigación subsidiados por la Secretaría de Ciencia y Tecnología de la Universidad Nacional de Córdoba, Argentina.